So a couple of days ago my colleague Ian Ajmo asks me to take a look at one of our patients for a second opinion. It’s a 75 year old male who had surgery for an incarcerated inguinal hernia during the night and was left intubated, but, despite his last sedation being during surgery (4 am), he still hasn’t woken up (11 am). He is known for a cerebellar glioblastoma but was functional living at home and had been given a one year prognosis.
So Ian was concerned, rightly so, and took the savvy initial step, after noting a GCS of 5 (some minimal reaction to pain), of looking at his optic nerve sheaths (ONS), and found them to be over 6 mm. For those unfamiliar, an optic nerve sheath dilation (ONSD) of 5.7mm (normal <4mm) generally corresponds to an ICP over 2o mmhg.
So this astute finding (as the requisition for a CT was being done) prompted me to do a little further neuro-ultrasound. Here is the distal carotid doppler:
So this is done in the upper neck, just distal to the bifurcation, so while extra cranial, the internal carotid nonetheless represents a view into the relationship between arterial flow and intracranial hemodynamics. It takes virtually no experience to see the radical difference in flow between the internal and the external carotid. The EC shows a beautiful systolic peak and diastolic flow. On the other hand, the IC shows a small systolic peak, a bit of retrograde flow, and essentially minimal or no diastolic flow. That is telling us, physiologically, that the ICP elevation has radically limited diastolic flow. This isn’t good.
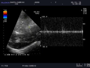
Next, I do trans-cranial doppler (TCD):
Now despite good visualization of brain tissue, specifically brainstem (sometimes difficult in men), I struggle to find any blood flow, and finally manage to see what looks like the basilar artery, and has very poor flow, similar to the EC, with a small systolic peak, retrograde flow and little diastolic flow.
This right away tells us there is a massive ICP elevation explaining the lack of awakening, and a dismal prognosis.
CT:
Confirms a huge RT MCA stroke with 15mm midline shift and foci of hemorrhage. While waiting for the CT his urine output was > 6 liter, prompting the attending to give some DDAVP and fluids to preserve hemodynamics (at least until the scan).
We withdrew therapy in view of the prognosis.
This case illustrates the usefulness and rapidity of bedside ultrasound to assess functional intracerebral dynamics, which can help diagnosing or ruling out an elevated ICP as a cause for a change in neuro status, or a “non-waking” patient, which is usually due to sedation accumulation, but now always…
cheers,
Philippe


