Month: July 2019
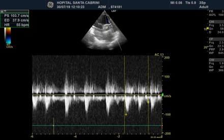
Venous #POCUS Case Discussion. #VEXUS #FOAMed #FOAMcc
So here is a bit more than I could squeeze into tweets about this case.
Love to hear thoughts and comments!
I will try to upload clips later!
cheers
Philippe
H&R2019 Lecture Series: Salvage the Airway! by Laura Duggan. #FOAMed, #FOAMcc, #FOAMer
So here is an awesome lecture by Laura Duggan (@drlauraduggan) on early airway management.
Enjoy!
…and for more lectures full of clinical pearls, (including Laura Duggan’s Workshop!) the Essentials of H&R2019 On Demand are available here:
H&R2019 The Hospitalist & The Resuscitationist: The Essentials On Demand!
cheers
Philippe
A Synopsis on Fluid Resus Parameters. #FOAMed, #FOAMcc, #POCUS
Hi, so my good friend Jeff Scott, ED/ICU doc and serious POCUSologist, asked me to summarize our current approach to fluid management, which is an amalgam of literature, physiology and bedside medicine-based evidence.
A few points to emphasize:
- does my patient need fluid/ will he/she benefit from fluid.
- is my patient fluid tolerant
- is my patient fluid responsive – yes, it’s the last and least important
I figure we may follow this up with a discussion – that’s often the best way to get to the real clinical decision points, and it’s always interesting to hear the questions and ideas that come up, so looking forward to it!
I figured might as well make a mini podcast of it, so here it is:
cheers
Philippe
“Volume Status” and other meanderings. #FOAMed, #FOAMcc, #FOAMer #POCUS
So the discussions go on about volume status and POCUS, and recently one in particular made me realize that it is important to reframe the way we think about “volume status.” As Segun Olusanya (better known as @iceman_ex) said, “the IVC is not a fuel tank indicator,” and indeed it is not. But even if it was, would that be useful? If somehow, an 18 mm IVC (short axis circular or average of course!) corresponded exactly to a 0.70 ml/kg blood volume, would that be of any use?
No. Of course not.
I get asked this question in consult a lot. So I could be a stickler on principle and answer, whether verbally or in a consult, that the volume status cannot be precisely ascertained using POCUS, and keep walking down the hospital hallway.
But let’s instead reconsider the true clinical question for a moment. What does “volume status” mean when requested by a colleague. The truth is that he or she is likely asking you whether there is a need to give fluid, remove fluid, or stay the course.
Ahhhh. Now POCUS, the IVC and its friends can help. A lot. A lot more that most clinical examinations and chart reviews of weights or ins and outs can. Way more. Why? Because if you are cool, with a normodynamic heart and a small IVC, you are on the low side of volume. Now you may also have a lot of B lines from your pneumonia and the lack of volume tolerance will give your answer to be very careful with fluids. If you are warm and hyperdynamic with a small IVC and totally clear lungs, no elevated ICP and a soft belly, you may just be vasodilated but, if your BP is on the low side, some fluid is a fair go, so long as you follow closely thereafter for fluid stop points. If you have a low urine output, a big IVC, a pulsatile PV and a poor LV, you probably need lasix, no matter how clear your lungs are and even if your creatinine is rising, in fact, especially since it is rising.
The permutations are myriad. But that’s why we have MDs and are supposed to be able to integrate bits and pieces of physiological data to come up with an understanding of our patients. And POCUS gives us an unprecedented bedside view into this physiology.
So if you do have legit POCUS skills, and are able to do a bit more than a long axis M mode of the IVC, then try this instead:
“Sure thing, now tell me a bit about your patient – I imagine you’re debating whether to give some fluids or diurese?”
Forget about volume status in terms of absolutes. Just think of what the clinical question is, and give your colleagues the answers they need.
I think the patients will do a lot better that way.
I’ve already put up a lot of stuff about the IVC here over the years.
cheers
Philippe
H&R2019 Lecture Series: GI POCUS with Kylie Baker, #FOAMed, #FOAMus.
Now here is a treat. This is one I am rewatching and taking notes, because it fills some holes in my game. No doubt, my GI POCUS is basic, but now Kylie has me starting to look at layers and patterns.
Anyone in ICU needs to be able to assess the abdomen this way.
So here you go!
cheers
Philippe
…and for more,
can be found here:
H&R2019 The Hospitalist & The Resuscitationist: The Essentials On Demand!
As requested, H&R2019 was recorded, and “The Essentials” is now available on-demand – CME is currently under processing, so it is currently offered at a temporarily reduced price, until formal accreditation is finalized.
This represents most of the talks originally given in Montreal on May 23rd and 24th, as well as some bonus footage of several workshops as well as some didactic and practical sessions from the pre-congress courses.
Of course, nothing beats being at a conference, especially H&R, whose ethos is not only cutting-edge, but even more so, cutting thru barriers between specialties and between attendees and faculty to take everyone’s game to the next level. But hey, if you couldn’t make it, this is the next best thing.
This second iteration of the coolest conference in Canada brought together a fantastic faculty from all over Canada, the US, Europe and Australia to explore various facets of acute care, from the ED to the wards and the ICU.
Note that this is complimentary for H&R2019 attendees and faculty. If you are, please email hospresusconference@gmail.com to obtain your access code.
This activity is brought to you by the Cabrini Critical Care Group, and represents 30 key lectures from the annual Hospitalist & Resuscitationist Conference, held at Santa Cabrini Hospital in Montreal, Canada, every spring. Each lecture is approximately 15-20 minutes. There is additional bonus footage from the workshops, the Hospitalist POCUS and Critical Care Procedures courses.
SCIENTIFIC PROGRAMME
Scientific committee:
Dr. Joe Nemeth, MD, CCFP – Emergency Physician
Dr. Carol Zambrana, MD, CCFP – Hospitalist
Dr. Philippe Rola, MD, FRCP – Internal Medicine, Critical Care Physician
Dr. Philippe St-Arnaud, MD, CCFP – Emergency & Critical Care Physician
Respiratory failure on the wards – MALLEMAT
At the end of this activity, the participant will be able to recognize and discuss the initial period of respiratory instability using available means including high-flow nasal cannulae and non-invasive positive pressure ventilation.
Phenotyping Cardiac Arrest – SPIEGEL
At the end of this activity, the participant will be able to discuss a new way of approaching cardiac arrest and reframing commonly held beliefs and practices into a more practical and clinical approach.
The Blood Bank and You! AJJAMADA
At the end of this activity, the participant will be able to elaborate the medical management of acute bleeding including the appropriate use of reversal agents and the practical usage of blood products and coagulation factors.
Salvaging the Airway – DUGGAN
At the end of this activity, the participant will be able to approach a respiratory distress caused by an airway problem and explain the different options readily available with their pros and cons.
Advanced POCUS-based management of CHF – ROLA
At the end of this activity, the participant will be able to elaborate on a cutting-edge physiological management of congestive heart failure using bedside ultrasound.
Contrast Induced Nephropathy: 2019 Update – MORRIS
At the end of this activity, the participant will be able to comment on the new literature pertaining to contrast induced nephropathy. The participant will be able to better judge the impact of her/his practice on kidney failure.
A Free Upgrade to your WBC: The NLR! – FARKAS
At the end of this activity, the participant will be able to discuss a different way to look at the white blood cell count which may provide important and overlooked information.
Renal Physiology Demystified: Portal Vein Pulsatility and Hyponatremia – PATEL
At the end of this activity, the participant will be able to integrate venous pressure in renal physiology with practical diagnostic and therapeutic applications.
Life-Threatened Asthmatic – MALLEMAT
At the end of this activity, the participant will be able to recognize the key clinical points of the critically ill asthmatic patient.
The Great EPI debate – SPIEGEL
At the end of this activity, the participant will be able to judge the facts and controversy surrounding the use of epinephrine in cardiac arrest and its impact on survival and neurological outcomes.
Revisiting CPR physiology: What do we know? – TERAN
At the end of this activity, the participant will be able to illustrate the key elements of CPR functioning, including from the standpoint of TEE-obtained intra-arrest data.
pH-guided fluid resuscitation – FARKAS
At the end of this activity, the participant will be able to discuss a tailored-therapy approach to fluid resuscitation and assess the key importance of timing of proper fluids.
Intra-Arrest Hemodynamics: One Size Doesn’t Fit All – TERAN
At the end of this activity, the participant will be able to elaborate on how intra-arrest TEE may help optimize and individualize management of resuscitation.
EKG Pearls – MULLIE
At the end of this activity, the participant will be able to recognize a number of subtle but important “don’t miss” findings in the EKG that can have serious clinical consequences.
Perioperative basics – KAUD
At the end of this activity, the participant will be able to manage the pre- and post-op patient through an organized approach.
Classic Cases with a Twist – SKINNER
At the end of this activity, the participant will be able to identify important and frequent dermatology challenges and will be able to include the concept of skin microbiome to their current practice.
The Art of the Bougie – SPIEGEL
At the end of this activity, the participant will be able to elaborate on the technical pearls, the advantages and the reason to use the bougie in airway management.
Appendicitis Audit from the coal face – BAKER
At the end of this activity, the participant will be able to interpret ultrasound images of appendicitis and recognize the pitfalls in their interpretation.
Diastology for Intensivists – CHEN
At the end of this activity, the participant will be able to elaborate on POCUS diastology and to justify its utility in hemodynamic assessment in the care of the acutely ill patient.
Acid-Base in 3 Parts – SPIEGEL
At the end of this activity, the participant will be able to use a practical and physiological approach to acid-base disorders.
The IVC don’t Lie: Ask the Right Question! – KENNY
At the end of this activity, the participant will be able to oppose the physiology of the IVC to its surroundings and reframe many of the common cognitive pitfalls and common clinical approaches.
Blood Pressure: a Closer Look – MAGDER
At the end of this activity, the participant will be able to define the mechanisms behind the generation of blood pressure and the clinical caveats that are key for resuscitationists to understand.
Gut POCUS – BAKER
At the end of this activity, the participant will be able to identify the findings in GI POCUS and comment on the evidence behind it.
Renal Doppler – HAYCOCK
At the end of this activity, the participant will understand the principles and hemodynamics behind doppler interrogation of renal vasculature and how this may be implemented in clinical practice.
Massive Transfusion – WEIMERSHEIMER
At the end of this activity, the participant will be able to discuss the evolution of massive transfusion protocols, and be able to justify the most recent approach.
To REBOA or Not To REBOA – HAYCOCK
At the end of this activity, the participant will be able to assess the indications for the use of the REBOA device in haemorrhage control and identify the complications associated with it.
Traumatic Cardiac Arrest: How To Avoid Killing the Dead! – NEMETH
At the end of this activity, the participant will be able to oppose the critical differences between medical and traumatic arrest and will recognize the pitfalls of managing the latter.
Inhalation Therapy for acute RV Failure – DENAULT
At the end of this activity, the participant will be able to discuss the advanced therapeutics of right sided failure in the critically ill patients and identify the techniques to diagnose and monitor RV dysfunction.
Pmsa: Is There a Clinical Use? – OLUSANYA
At the end of this activity, the participant will be able to discuss the concept of Pmsa and recognize situations where it can have a direct impact.
Insights on Delirium Using POCUS – DENAULT
At the end of this activity, the participant will be able to comment on the POCUS in relation to the development of delirium.
BONUS WORKSHOP & COURSE VIDEOS – this bonus section brings you into some of the workshops of H&R2019, and while watching is no substitute for hands-on practice, these clips are packed with clinical pearls only seasoned veterans can share, and make for a great review prior to doing these procedures as well as teaching them to colleagues and trainees. Due to the organic nature of the workshops, we were not always able to catch the very beginning of each discussion, so we do apologize if you feel like you’re just “jumping in,” but it’s better than missing out! In certain workshops, the audio quality is imperfect due to hearing other groups as well, but again we felt there is valuable learning nonetheless. These reasons are why this is a bonus section.
Lung Ultrasound – OLUSANYA & SPIEGEL
Renal Doppler – HAYCOCK
Micropuncture kits and Midline Catheters – SPIEGEL
REBOA – HAYCOCK
Art of the Bougie – SPIEGEL
Hepatic and Portal Venous Doppler – DENAULT
Trans-Cranial Doppler – CHEN & SCOTT
…and the bonus section may keep growing as we work on cleaning up audio as much as possible.
Please click here for more information and to purchase H&R2019 On Demand:
And don’t forget to join us next year:









