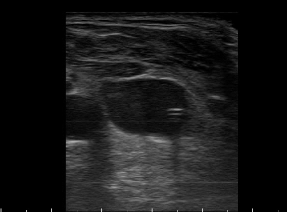
Post-procedure transverse view of the neck…what do you see?
scroll down for the answer!
…an internal jugular catheter in the jugular vein! Note the shadow behind it. In fact, the use of ultrasound to confirm venous position as well as eliminate pneumothorax often obviates the need for a post-procedural CXR, sparing time, resources, and the risk of turning/moving a critically ill patient (how many tubes and lines have been lost this way…).

Congratulations, especially the tip regarding pnumothorax
thanks!