Another plea. Please stop embarassing us. #FOAMed, #FOAMcc.

Despite physiological rationale, common sense, and a JAMA article now almost 2 years old, I still sadly see most of my internal medicine colleagues still routinely reaching for (ab)normal saline.

Its embarrassing.

I genuinely feel bad recommending other fluids in consultations, or in the room of a crashing patient asking the nurse to stop the bolus of NS and change it at least to RL, because it is such a ‘basic’ intervention. Prior to the JAMA article, I mostly gave people the benefit of the doubt. Resuscitation isn’t everyone’s field of interest, nor is physiology, so I didn’t feel that necessarily everyone HAD to know this and ascribe to it. I do understand the 10 year time of knowledge translation, but that’s why #FOAMed exists, to try to cut that down.

So please, unless your goal is specifically chloride repletion, take a deep breath and release your grasp on habit and tradition, and embrace physiology (at least to some degree) and stop using NS as a volume expander whether in bolus or in infusion. RL or plasmalyte – although not physiological, at least not as biochemically disturbing as is 0.9% NaCl.

Having said that, let’s keep in mind that human fluid is colloid, whether it includes a cellular suspension (blood, lymph) or not (interstitial fluid), made of a varying mix of proteins, electrolytes, hormones and everything else we know – and some we don’t – floating around. There is no compartment that contains a crystalloid solution.

I’m quite aware that no meta-analysis has shown that colloids are superior, but it likely is just a matter of the right colloid. Resuscitating with crystalloids is kinda like throwing a bucketful of water at an empty bucket across the room. 70-80% spill, if you’re lucky. And the cleanup may be more costly than a few sweeps of the mop. This is evidence based (SOAP, VASST, etc..).

So a plea to all, spread the word. Its a simple switch. Boycott hyperchloremic acidosis at least.

For more details, here’s a link to my earlier post on NS: http://wp.me/p1avUV-5x

cheers

 

Philippe

NEJM: The Septic Shock Issue…groundbreaking or same old same old? #FOAMed, #FOAMcc

Ok, so it was pretty cool to see an NEJM issue basically dedicated to septic shock management, I must admit. But let’s dig a little deeper, shall we?

So here is where they are: http://www.nejm.org, and fully available for now.

I won’t go through all the details and numbers, after all they are in the papers, so let’s just analyze them from two principles:

a. the N=1 principle – how was therapy individualized?

and

b. was there any integrated monitoring of the therapeutic goals?

…and we’ll conclude by looking at the potential practice-changing potential of each of these studies.

So first of all,

High vs Low BP Target in Septic Shock, by Asfar et al.

So basically a negative study except for two findings, the increased incidence of afib in the high target group and the decreased need for renal replacement therapy among chronic hypertensives in the high target group.

so N=1 is not really revealed:

“Refractoriness to fluid resuscitation was defined as a lack of response to the administration of 30 ml of normal saline per kilogram of body weight or of colloids or was determined according to a clinician’s assessment of inadequate hemodynamic results on the basis of values obtained during right-heart catheterization, pulse-pressure measurement, stroke-volume measurement, or echocardiography (although study investigators did not record the values for these variables).”

So lets just hope that the variability evens itself out between the groups, since we don’t really know. The numbers don’t really tell the tale, because the average fluids received (10 liters over 5 days) could mean one patient got 15 and one got 5 – although let’s trust they followed the French Fluid Resus protocol…

So the atrial fibrillation makes total sense – more B agonism should result in that, and the decreased renal failure also does.

As the authors note, the actual BP averages were higher than planned. For those of us practicing critical care, we know most nurses titrating prefer having a little bit of extra BP – even when I prescribe MAP 65, I usually see the 70 or so unless I make a point to tell them. Understandable. They also note the underpowered-ness of their own study, but I think it is still worth looking at their results.

So…bottom line?  I think it’s a great study for a couple of reasons.

The first is to remind us to pay a little more N=1 attention to the chronic hypertensives, and that it is probably worth aiming for slightly higher MAPs.

The second, debunking the myth of “levophed, leave’em dead” (which I heard throughout residency at McGill), and the concept of doing everything (ie juicing patient into a michelin man) in order to avoid the “dreaded and dangerous” vasopressors. So really I think an alternative way to conclude this study is that it isn’t harmful to have higher doses of vasopressors. I think this is actually a really good study on which to base assessment of more aggressive vasopressor support vs fluid resuscitation, in the right patients.

It would have been interesting to have echo data on those who developed a fib – were they patients who had normal to hyperdynamic LVs who in truth did not need B agonism at all and would have been fine with phenylephrine?  Perhaps…

Cool. I like it.

Next:

Albumin Replacement in Patients with Severe Sepsis or Septic Shock, by Caironi et al. The ALBIOS study (a Gattinoni crew)

So basically showed no difference, so pretty much a solid italian remake of the SAFE study in a sense, confirming that albumin is indeed safe overall, and may be better in those with shock.  As the authors note, mortality was low, organ failure was low, so study power a little low as well. Note the mean lactates in the 2’s at baseline. The albumin levels of the crytalloid only gorup were also not that low, low to mid 20’s, whereas I often see 15-20 range in my patients, especially if I inherit them after a few days, as I do use albumin myself a fair bit. They also used a target albumin level, not albumin as a resuscitation fluid purely.

In my mind the benefit of albumin would be greatest in those with significant capillary leak, particularly those with intra-abdominal and pulmonary pathology. It would have been nice to see a subgroup analysis where extravascular lung water was looked at (especially coming from a Gattinoni crew!).

Another interesting thing would have been to know the infusion time of the albumin, since animal data tells us that a 3hr infusion decreases extravasation and improves vascular filling vs shorter infusion times. I routinely insist on 3hr infusion per unit, which sometimes results in 9-12hr infusions, almost albumin drips!

Bottom line?

I like it. Reinforces that albumin is safe, so makes me even more comfortable in using it in the patients where my N=1 analysis tells me to be wary of third-spacing. Also the fact that they used 20% – in Canada we have 100cc bottles of 25% for the most part – is nice, since the SAFE data used 4%.

Next!

A Randomized Trial of Protocol-Based Care for Early Septic Shock – The ProCESS Trial.

So right off that bat my allergy to protocols flares up, so I’ll try to remain impartial. It just goes against the N=1 principle. The absolutely awesome thing about protocols is that it primes the team/system to react – so clearly protocols are better than no-protocol-at-all, but strict adherence would clearly not fit everyone, so that some built-in flexibility should be present.

This being said, the ProCESS study is really interesting, for a number of reasons. They have three groups, and compare basically (1) Rivers’ EGDT to (2) their own protocol (see the S2 appendix online) which gives a little more flexibility and (3) “usual care”.  Net result is that all are pretty equal, no change in mortality. As the authors note, their mortality was low, so again may not have been able to detect a difference.

So, what does this mean. To me it’s a little worrisome because I doubt that the “usual care” represents the true usual care found in EDs/ICUs all over the world, so I am concerned that many docs will use this as a reason to justify not changing their practice, similarly to many I’ve heard say they don’t need to cool anymore after the TTM trial. Human nature for some I guess.

Bottom line? You don’t have to follow EGDT if you’re conscientious and reassessing your patient frequently and have done all the other good things (abx, source control, etc). I think that’s really important because giving blood (see my post about S1P) to those with hb > 70 and giving dobutamine to patients with potentially normal or hyper dynamic LVs never made physiological sense to me, and the problem with a multi intervention study such as EGDT is that you can’t tease out the good from the bad or the neutral. Again, studies such as EGDT are pivotal in changing practice and raising awareness, so this is not a knock against a necessary study, just to highlight the point that each study is a step along the way of refining our resuscitation, and the important thing is to move on. In fact, the reason that this is a negative study is probably due to the improvement in “usual care” that EGDT brought along.

Conclusion: No new ground broken, but these studies do make me feel more confident and validated in continuing to not do certain things (strict EGDT) and  doing others (albumin and earlier use of vasopressors).

Kudos to all investigators.

 

let me know what you think!

 

P

 

Blood transfusion and serum S1P levels in Sepsis: a leaky proposition? (Protecting the Glycocalyx Part1) #FOAMed, #FOAMcc

So in my ongoing quest to reframe my resuscitation step-by-step, I’ve been following up on a number of leads regarding the glycocalyx, as previously stated, and John’s reference to this article in a previous comment I feel is highly relevant. So this is it:

Synergistic Effect of Anemia and Red Blood Cells Transfusion on Inflammation and Lung Injury,  Anping Dong, Manjula Sunkara, Manikandan Panchatcharam, Abdel Salous, Samy Selim, Andrew J.Morris, and Susan S. Smyth

Advances in Hematology, Volume 2012, Article ID 924042, 8 pages

http://www.hindawi.com/journals/ah/2012/924042/

S1P (sphingosine-1-phosphate) is a regulator of endothelial permeability and immune function.  Uh-oh, why had I not heard of it? Hmmm…I don’t think it was in Guyton’s or in Harrison’s…and there hasn’t been an RCT about it… Ok, that about explains it.

So here are some factoids about S1P:

–       serum levels correlate with HCT as RBCs serve as an S1P reservoir.

–       anemic patients’ S1P levels are NOT fully replenished by transfusion, especially the older the transfused blood is.

–       In fact, older RBCs may actually remove plasma S1P.

The study:

They basically took mice, and in the first group, bled them (by 20ml/kg) and looked at inflammatory markers, lung permeability and also S1P levels. That’s basically the control group, and they noted that hemorrhage significantly increased inflammatory markers (interesting in and of itself) . They then transfused these mice using wither fresh, S1P-loaded RBCs, or 14-day old RBCs, and, lo and behold, the fresh blood resulted in less inflammation, increased S1P, but most importantly, markedly decreased lung permeability. So clearly, S1P attenuates transfusion associated lung permeability.

In the next group, they injected the mice with LPS following hemorrhage, and found a synergistic effect of blood loss and LPS on inflammation and lung permeability, as could be imagined. Following the LPS, they were transfused with one of four strategies: fresh blood, old blood, fresh blood + S1P or old blood + S1P.  Well, lung permeability still increased in all groups, but least in the fresh blood + S1P, and the old blood + S1P a close second.

Note, interestingly enough, that saline alone (the “control”) also increased lung permeability, highlighting yet again that NS (and probably any crystalloid) is not innocuous…

So here we’re looking at the finer effects of transfusion, and why, against “common-sense” correcting a patient’s hemoglobin level does not seem to help in all situations.  We have understood the aging issue and loss of deformability, but it is time to take a finer look.  We are familiar – at least in concept – with transfusion-associated lung injury or TRALI, but the mechanism remains unclear.

Summary and Take-Home message:

S1P infusions in sepsis?  Maybe someday…

Yes, this is an animal study, and the results cannot be extrapolated directly to humans, but it is food for thought, as John had mentioned.  Certainly at least this should tell us to keep and ear/eye out for human work with S1P, but personally, it will make me even more comfortable in not transfusing my septic patients with hb’s in the low 70’s and maybe even high 60’s (try repeating the cbc, more often than not comes back a couple points higher and you can avoid transfusion), and for those who are a little more aggressive with transfusion, maybe this should make them think twice…

I’ll add what I can dig up on human S1P studies soon.

cheers!

Philippe

Transfusion and the Glycocalyx: John strikes again! #FOAMed, #FOAMcc

A great surprise this morning:  a comment from John. Yup, THE John. So taking a page out of Scott’s book, I thought it would be worth sharing with everyone as its own post, as opposed to just a comment. I think this is must-read material for everyone.

So without any further adue:

“I thought I might add some quirky ideas to your discussion.

We are now getting familiar with the concept of endothelial cells covered by a surface glycocalyx layer, that forms part of the barrier and mechano-sensing functions of the blood-tissue interface. We have discussed in some detail, the role of the glycocalyx in preserving endothelial integrity. I am gonna try and add a bit more spice into the whole transfusion drama.

In recent times, we have started talking a lot about a bioactive phospholipid called sphingosine-1-phosphate (S1P), as a crucial element in preserving vascular barrier integrity by ‘protecting’ the Glycolcalyx. (Most geeky papers on TRALI and other transfusion related complications do mention it).

Because albumin is one of the primary carriers of sphingosine-1-phosphate (S1P), it is possible that S1P, acting via S1P1 receptors, plays the primary role in stabilizing the endothelial glycocalyx. Infact, antagonism of S1P1 receptors have been shown to cause widespread shedding of the glycocalyx, as evidenced by increased serum concentrations of Heparan sulphate and Chondroitin sulphate. (This might probably be one of the mechanisms how albumin is glycocalyx friendly).

RBC transfusions are a double edged sword…..especially in situations of acute anemia as in post hemorrhagic situations ( major GI bleed or trauma.)….I totally agree with you in that the two are conceptually very similar.

Erythrocytes have been identified as an important buffer for sphingosine-1-phosphate . In mice, depletion of plasma S1P by genetic inactivation of S1P synthesizing enzymes (sphingosine kinases 1 and 2) elicits profound pulmonary vascular leak, which can be reversed by restoring circulating S1P via RBC transfusion.

In humans, hematocrit (Hct) predicts plasma S1P levels. There also seems to be a dynamic equlibrium between SIP levels of the plasma, and the circulating RBCs. It has been demonstrated that in anemic individuals, plasma S1P levels are not uniformly restored by RBC transfusion. Rather, the age of the RBC unit at the time of transfusion tended to negatively correlate with the ability of RBC transfusion to replenish plasma S1P. During storage, the S1P content of human RBC markedly declines, likely due to enzymatic degradation. Because erythrocytes serve as a buffer for circulating S1P, aged RBC with low S1P content may be incapable of restoring plasma S1P levels and may actually remove S1P from plasma, which in turn could contribute to increased endothelial permeability, capillary leak, and infiltration of inflammatory cells.

I hope this partly answers your question as to how the glycocalyx may be impacted by inappropriate and irresponsible transfusion triggers. I agree that these are all very novel ideas and as such, exist in the realm of experimental clinical physiology, but my gut tells me that the delicate Glycocalyx may hold the clue to a lot of answers to questions that have plagued us for a long long time!

Cheers,
John from India…”

So first of all, thank you very, very much for reading and taking the time to comment and enlighten us.

As John says, this is still in the realm of experimental physiology, but I think there are a lot of situations we are faced with, perhaps grey zone areas where we debate two potential therapeutic avenues, where we can use some of this data. We might debate giving that extra bit of fluid, or debate crystalloid vs albumin, or blood or no blood with an Hb of exactly 70, and I think we have to start weighing in some of this physiological data, even if it isn’t “evidence-based-by-RTC” to help guide these decisions.

The more I look into it the more it seems that our interventions – particularly fluid resuscitation, needs to be reassessed from the ground up both in nature, quantity and rate of infusion while measuring glycocalyx damage – e.g. biomarkers such as S1P, heparan or chondroitin sulfate, etc…

I’ve previously posted and podcasted about my general strategy for fluid resuscitation, and I am definitely in the process of revising it, still unsure what is best. I’d love to hear how John resuscitates his patients…

thanks!

Philippe

Other Comments:

Mystery John has an uncanny ability to describe complex physiology in the simplest way possible. I am very interested in digging more into his predictions of the possibility of aged erythrocytes removing S1P from circulating plasma.

Dr. John, if you’re out there, could you point us all to some of these studies you’ve mentioned? Any good S1P review papers you’d recommend to those, like me, who are S1P novices?

Thanks for your input! It was a pleasure.

Warm regards,

Derek

Thank you Derek, for the kind comments…. I think the concept of S1P is still in the process of evolving and assuming a definitive shape, so a good review might be hard to stumble across.

A good research article which cites some excellent references might be —

Synergistic Effect of Anemia and Red Blood Cells Transfusion on Inflammation and Lung Injury
— Anping Dong et al. (It is open access at http://dx.doi.org/10.1155/2012/924042).

Hope this helps……

John.

Here is the article:

924042

P

The N=1 concept. #FOAMed, #FOAMcc

First of all, happy holidays to all and happy new year!

Following a few requests, I’m gonna put up a few words about the N=1 concept, as I think it comes up in every single therapeutic and diagnostic strategy.

We do not treat a thousand, a hundred or even ten patients at a time.  As clinicians, we deal with a single patient, with a certain pathology, and his own, unique physiological pattern of response to that pathology.

In a medical utopia, we would be able to have a precise biophysiological profile of our patient – probably including parameters that either don’t yet exist, or are on the verge of being found or invented.  We would know, for instance, the degree of glycocalyx damage, the nature of this damage, the degree of subsequent capillary leak, the specific inflammatory cytokine pattern, and thus be able to use a potential combination of agonists and antagonists to favor healing, and tailor fluid therapy to the “just right” amount, avoiding both under-resuscitation and tissue edema. This would be similar to antibiotic sensitivity testing. Who, in this century so far, would deliberately not order sensitivities, instead satisfying themselves with a positive result and happy with empiric therapy?

Just in terms of biological variability, it is impossible to believe that all patients would respond best to a single goal or therapy. How can an MAP of 65 be as good for a septic hypertensive patient as it is for a young septic woman who normally walks around with an SBP of 110? Not that I don’t use that number myself most of the time, but certainly food for thought, and something to keep in mind when treating either of those “types” of patients…

And the answer to the N=1 riddle isn’t just subgroup analysis. The questions have to be answered in prospective fashion, built into the study design. Not easy work, and especially since we don’t yet even know what the key variables/questions are… But personally, as mentioned in an earlier post, I do now suspect that the ubiquitous glycocalyx holds some of those answers.

Let’s look at the whole fluid debate through the N=1 lens: it makes no sense whatsoever to debate crystalloids versus colloids. This negates thinking and only encourages near-religious fervour amidst both camps. Rather, look at your patient. Is he truly dehydrated/volume depleted or just volume responsive on the basis of vasodilation. If we want to restore the ICF and the interstitium, then crystalloids are probably better, but if we want to restore effective circulatory volume, then some measure of colloid may help avoid excessive edema, though even this can be debated. Even more important is the composition of the resuscitation fluid. Much as we adjust our TPN, we should probably design our resuscitation fluids, rather than only using Ringer’s Lactate (I say only just to drive the point that NS should not be used as a resuscitation fluid, unless repleting chloride is specifically necessary).

Now this may sound like a rant against large trials, but it isn’t. Absolutely invaluable information can be derived from these, it is just a matter of thinking how that information can benefit the one patient you have in front of you. And this isn’t easy. You have to put together your history, physical exam, bedside ultrasound exam and labwork. You can’t just say  “sepsis? 2 litres,” or any other such recipe (aka protocols).

ok, enough for a january 1st!

 

Love to hear what anyone thinks!

 

Philippe

 

A Paradigm shift: re-thinking sepsis, and maybe shock in general… #FOAMed, #FOAMcc

Thomas Kuhn, physicist and philosopher, in his groundbreaking and science changing text, The Structure of Scientific Revolutions, states that:

“Successive transition from one paradigm to another via revolution is the usual developmental pattern of a mature science.”

In other words, a science has growing pains and is bound to have a fair bit of debate and controversy, until a new paradigm becomes dominant.  I think that there is a current – in part prompted by the power of socio-professional media which has allowed minds to connect and knowledge to spread – that will see many of the things that are now “Standard of Care” out the door.

So first of all, the following are must-listens, the first a lecture by Paul Marik, whom I have had the chance to collaborate with in the last years and respect greatly, on knowledge, experience, and even more on his refusal to take anything for granted and being in a seemingly-constant quest for the improvement of medicine.

The second link is Scott Weingart’s take on it, which I think is equally awesome.

I think Paul is pushing the envelope in an essential way, and Scott does a fantastic job of seeing or putting it in perspective. Enjoy:

http://emcrit.org/podcasts/paul-marik-fluids-sepsis/

EMCrit 112 – A Response to the Marik Sepsis Fluids Lecture

My (very) humble opinion on this is a rather simple, almost philosophical one:  why are we seemingly obsessed with treating a predominantly vasodilatory pathology with large amounts of volume?  I’ve said this in previous posts and podcasts, but this, in my opinion, is largely cultural and dogmatic. “Levophed – Leave’em dead” is something I heard as a student and resident, and came to take for granted that I should give lots of fluid in hopes of avoiding pressors… But there’s no evidence at all to support this.  The common behavior of waiting until someone has clearly failed volume resuscitation before starting pressors befuddles me (think how long it takes to get two liters of fluid in most ERs…).  If I was in that bed, I’d much rather spend an hour a bit “hypertensive” (eg with a MAP above 70) than a bit hypotensive while awaiting final confirmation that I do, in fact, need pressors.

I strongly suspect that it’s just a matter of improving vascular tone, giving some volume (which may be that 3 liter mark), and ensuring that the microcirculation/glycocalyx is as undisturbed as possible. Now when I say it may be the 3 liters, I firmly believe this will not apply to everyone, and that it will be 1 liter in some, and 4 in others, and that a recipe approach will be better than nothing, but likely harm some.

I think that blind (eg no echo assessment) of shock is absurd, and for anyone to propose an algorithm that does not include point-of-care ultrasound is only acceptable if they are in the process of acquiring the skill with the intention of modifying their approach in the very near future.

The whole microcirculation/glycocalyx is absolutely fascinating stuff, and undoubtedly will come under scrutiny in the next few years, and it is definitely something I will focus on in upcoming posts & podcasts. Our resuscitation has been macro-focused, and certainly it is time to take a look at the little guys, who might turn out to have most of the answers. For instance, there is some remarkable data on HDAC inhibitors (common valproic acid) and their salutatory effects in a number of acute conditions such as hemorrhagic shock (Dr. Alam) which have nothing to do with macro-resuscitation, and everything to do with cell signaling and apoptosis. Hmmm…

please share your thoughts!

thanks

Philippe

NEJM Circulatory Shock Review by Vincent & DeBacker: the sweet and the not-so sweet… #FOAMed, #FOAMcc

So if anyone hasn’t read it, here it is:

Click to access Circulatory%20Shock%20-%20NEJM%202013.pdf

I read the article by critical care icons Dr. Jean-Louis Vincent and Dr. De Backer with interest  as I am always keen to find out what the cutting edge is… So here is my take on their review.

The not-so-sweet:

The inclusion of CVP in the assessment. Ouch. No evidence whatsoever. Evidence for lack of correlation to fluid responsiveness… I wonder if they themselves were cringing a little about including it, particularly form the fact that they just put high vs low rather than commit to a value, which makes me think they realize it’s a bit of a trap. (It reminds me a bit of those night-time orders I still sometimes see which say if u/o < 30 cc/hr give a bolus if CVP under 12 or lasix if over 12.  So basically depending on whether that patient’s head is elevated, or if he’s turned on one side or the other, he may go from “needing fluids” to “needing diuretics”…).

The sweet:

First of all, they obviously did an elegant job on description of shock states, and particularly of highlighting the common-ness of mixed etiology shock.

I like that they admitted that the end-point for fluid resuscitation is “difficult to define.”  Any answer other than that would really speak to non-physiological thinking, as I’ve referred to in prior posts/podcasts.

Dopamine: good job on trying to take it off the shelf for shock. As far as I’m concerned, only useful when you’ve run out of norepinephrine, although there is the odd time when you have a septic AND bradycardic patient where it could come in handy…

Bringing some focus on the microcirculation: no recommendations, but that’s appropriate since there are none to be made yet, but this is where the money is in the future, as far as I’m concerned. Once we figure out how to manage the microcirculation (we do ok with the macro circulation) we might forge ahead. But good to point the finger in that direction.

The super-sweet!

I do (not surprisingly) really, really like the fact that they included ultrasound in their assessment protocol, and emphasizing that focused echocardiography should be done as soon as possible.  Very nice. Finally.

Hopefully, this pushes mainstream ED and critical care physicians to realize they need basic bedside ultrasound skills…

 

Overall, I think it is a good review, certainly worth the read for trainees. I would like to see focus on re-examining and questioning our approach, which could spur readers to embark on research with a different angle. For instance, why do we assume that we need to fill patients to the point of no longer being fluid responsive in order to avoid vasopressors? Is there any evidence for that? Not that I know of…

But, for having put an emphasis on point-of-care ultrasound, it gets a big round of applause from me!

 

Philippe

CCUS 2013 Lectures – #FOAMed, #FOAMcc

This past may we had an amazing two day conference, the theme of which was challenging dogmatic practice and myths in acute care medicine.  Many of the lectures are now available to watch on our website at http://www.ccusinstitute.org/e-Store.asp?method=evideos#, you need to be a member to access – which is free, just register.

 

Lectures on bedside ultrasound, shock, ECMO in the ED, physiology and a lot of really, really good stuff.

 

We will be adding more in the next weeks!

 

Thanks!

 

PR

fluid resuscitation: a physiological approach – an N=1 podcast, #FOAMed, #FOAMcc

This is my approach to fluid resuscitation – sorry for the lack of precision which, to me, is actually key.  It would be against the N=1 principle to give out a recipe…but here’s a way to think about it:

Sorry the last bit cut off – my iphone can only email an 8 minute audio clip! Which I wasn’t aware of until today.  Anyway all that was lost at the end was “thanks for listening and I’d really like to hear comments and others’ practices!”

And here’s a disclaimer:  I don’t think this is the be-all and end-all. My resuscitation is a work in progress, both in terms of new fluids coming up, and in terms of identifying subgroups or individuals who would benefit from a different approach, so I’m definitely eager to hear from anyone who does things differently – but physiologically!

Please see Dr. John Myburgh’s excellent review on fluid resus in NEJM sep 26th issue!

Oh and here’s the diagram!

Physiological Fluids

thanks!

Philippe

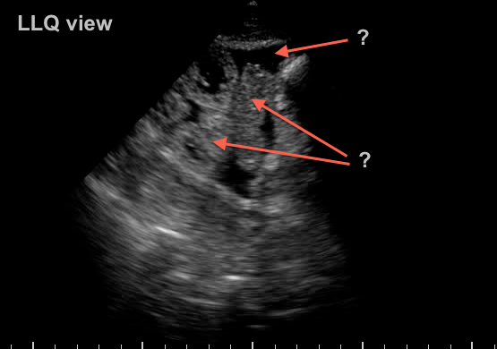
Bedside Ultrasound Picture Quiz 2 #FOAMed, #FOAMcc

73 yr old woman recovering from septic shock with abdominal distension and difficulty tolerating enteral feeds…

 

what do you see?

BUPQ2

 

 

scroll below for the answer…..

 

 

 

 

 

 

 

 

 

 

 

 

 

 

 

BUPQ2 Answer

 

Extensive third spacing from resuscitation has resulted in bowel edema and ascites.  Another “benign” effect of massive crystalloid use… A bedside 22g US guided tap confirms benign transudate.